-
Knee Anatomy

The knee is a complex joint made up of different structures - bones, tendons, ligaments, and muscles. They all work together to maintain the knee’s normal function and provide stability to the knee during movement. Having a well-functioning healthy knee is essential for our mobility and ability to participate in various activities.
-
Knee Arthritis

The joint surface is covered by a smooth articular surface that allows pain-free movement in the joint. Arthritis is a general term covering numerous conditions where the joint surface or cartilage wears out. This surface can wear out for several reasons; often the definite cause is not known.
-
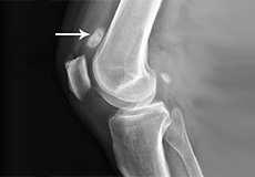
Meniscal Tear

A meniscal tear is a common knee injury in athletes, especially those involved in contact sports. A sudden bend or twist in your knee causes the meniscus to tear. Elderly people are more prone to degenerative meniscal tears as the cartilage wears out and weakens with age.
-
Knee Osteoarthritis

Knee osteoarthritis (OA) is a degenerative joint disease that occurs when the cartilage in the knee joint gradually wears away. Cartilage is a smooth, slippery tissue that cushions the ends of bones and helps the joint move smoothly.
-
Knee Fracture

A fracture is a condition in which there is a break in the continuity of the bone. In younger individuals, these fractures are caused by high energy injuries, as from a motor vehicle accident. In older people, the most common cause is a weak and fragile bone.
-
Knee Sprain

Knee sprain is a common injury that occurs from overstretching of the ligaments that support the knee joint. A knee sprain occurs when the knee ligaments are twisted or turned beyond its normal range, causing the ligaments to tear.
-
Patellar Instability

Any damage to the supporting ligaments may cause the patella to slip out of the groove either partially (subluxation) or completely (dislocation). This misalignment can damage the underlying soft structures such as muscles and ligaments that hold the kneecap in place.
-
Anterior Knee Pain

Anterior knee pain is characterized by chronic pain over the front and center of the knee joint. It is common in athletes, active adolescents (especially girls) and overweight individuals. Anterior knee pain refers to various conditions, which include runner's knee or patellar tendinitis, and chondromalacia of the patella.
-
Multiligament Knee Injuries

Injury to more than one knee ligament is called a complex or multiligament knee injury and may occur during sports or other physical activities.
-
Runner's Knee

Patellofemoral pain syndrome also called runner’s knee refers to pain under and around your kneecap. Patellofemoral pain is associated with a number of medical conditions such as anterior knee pain syndrome, patellofemoral malalignment, and chondromalacia patella.
-
Shin Splints

Shin splints are pain and inflammation of the tendons, muscles and bone tissue along the tibia or shinbone (lower leg). It occurs because of vigorous physical activities such as exercise or sports.
-
Knee Pain

Knee pain is a common condition affecting individuals of various age groups. It not only affects movement but also impacts your quality of life. An injury or disease of the knee joint or any structure surrounding the knee can result in knee pain.
-
Knee Injury

Trauma to the knee can injure one or more tissues of the knee joint, such as ligaments, tendons, cartilage, bones, and muscles. These injuries can result from a fall, a forceful twisting motion, or a high-impact event like a motor vehicle accident.
-
Chondromalacia Patella

Chondromalacia patella is a common condition characterized by softening, weakening and damage of the cartilage. The condition is most often seen in young athletes and older adults who have arthritis of the knee. It especially occurs in women.
-
Iliotibial Band Syndrome

Iliotibial band syndrome is an overuse injury resulting from the inflammation of the iliotibial band. It occurs when the iliotibial band and the lower outside portion of the thighbone at the knee joint rub against each other.
-
Jumper's Knee

Jumper’s knee, also known as patellar tendinitis, is inflammation of the patellar tendon that connects your kneecap (patella) to your shinbone. This tendon helps in the extension of the lower leg.
-
Knee Angular Deformities

Angular deformities of the knee are variations in the normal growth pattern during early childhood and are common during childhood. The condition usually becomes more evident when your child is 2 to 3 years old and normally corrects itself by 7 or 8 years.
-
Articular Cartilage Injury

Articular or hyaline cartilage is the tissue lining the surface of the two bones in the knee joint. Cartilage helps the bones move smoothly against each other and can withstand the weight of the body during activities such as running and jumping.
-
Chondral or Articular Cartilage Defects

The articular or hyaline cartilage is the tissue lining the surface of the two bones in the knee joint. Cartilage helps the bones move smoothly against each other and can withstand the weight of your body during activities such as running and jumping.
-
Knee Sports Injuries

Trauma is any injury caused during physical activity, motor vehicle accidents, electric shock, or other activities. Sports trauma or sports injuries refer to injuries caused while playing indoor or outdoor sports and exercising.
-
Kneecap Bursitis

Bursitis refers to the inflammation and swelling of the bursa. Inflammation of the bursa in front of the kneecap (patella) is known as kneecap bursitis or prepatellar bursitis.
-
Lateral Meniscus Syndrome

Lateral meniscus syndrome is characterized by an injury caused by the tearing of the cartilage tissue or a rare case of a congenital abnormality called a discoid meniscus, which results in knee pain.
-
Lateral Patellar Compression Syndrome

Lateral patellar compression syndrome refers to pain under and around your kneecap. It is a common complaint among runners, jumpers and other athletes such as skiers, cyclists, and soccer players.
-
Ligament Injuries

The knee is a complex joint that consists of bone, cartilage, ligaments, and tendons that help in your joint’s movements. The knee is a hinge joint made up of two bones, the thighbone (femur) and shinbone (tibia).
-
Loose Bodies in the Knee

Loose bodies are fragments of detached cartilage or bone inside the knee joint. These fragments may be free floating (unstable) or may be trapped (stable) within the joint. Depending on the severity, you may have one or more loose bodies in your knee joint.
-
MCL Sprains

The medial collateral ligament (MCL), a band of tissue present on the inside of your knee joint, connects your thighbone and shinbone (bone of your lower leg). The MCL maintains the integrity of the knee joint and prevents it from bending inward.
-
Meniscal Injuries

Meniscal tears are one of the most common injuries to the knee joint. It can occur at any age but are more common in athletes involved in contact sports. The meniscus has no direct blood supply and for that reason, when there is an injury to the meniscus, healing is difficult.
-
Medial Meniscus Syndrome

Medial meniscus syndrome refers to pain and dysfunction caused by injury or degeneration of the medial meniscus, the C-shaped cartilage on the inner side of the knee. Of the menisci within the knee, it is the medial meniscus that is more easily injured.
-
Multiligament Instability

The knee is a complex joint of the body that is vital for movement. The four major ligaments of the knee are anterior cruciate ligament (ACL), posterior cruciate ligament (PCL), medial collateral ligament (MCL) and lateral collateral ligament (LCL).
-
Posterolateral Instability

Posterolateral instability, also known as posterolateral rotatory instability (PLRI), is a common pattern of knee instability that results from injuries to the structures that support the outside of the knee joint, the posterolateral corner.
-
Patellofemoral Instability

Patellofemoral instability means that the patella (kneecap) moves out of its normal pattern of alignment. This malalignment can damage the underlying soft structures such as muscles and ligaments that hold the knee in place.
-
Patellar Tendon Rupture

The patellar tendon works together with the quadriceps muscle and the quadriceps tendon to allow your knee to straighten out. Patella tendon rupture is the rupture of the tendon that connects the patella (kneecap) to the top portion of the tibia (shinbone).
-
Osgood Schlatter Disease

Osgood-Schlatter disease refers to a condition in older children and teenagers caused by excessive stress to the patellar tendon (located below the kneecap). Participants in sports such as soccer, gymnastics, basketball, and distance running are at higher risk for this disease.
-
Osteochondral Defect of the Knee

An osteochondral defect, also commonly known as osteochondritis dissecans, of the knee refers to a damage or injury to the smooth articular cartilage surrounding the knee joint and the bone underneath the cartilage.
-
Osteonecrosis of the Knee

Osteonecrosis is a condition in which the death of a section of bone occurs because of lack of blood supply to it. It is one of the most common causes of knee pain in older women. Women over 60 years of age are commonly affected, three times more often than men.
-
Patellar Tendinitis

Patellar tendonitis, also known as "jumper's knee", is an inflammation of the patellar tendon that connects your kneecap (patella) to your shinbone. This tendon helps in extension of the lower leg.
-
Patellar Tracking Disorder

Patellar tracking disorder, also known as patellar maltracking, is a condition in which the kneecap (patella) moves sideways from its groove when the leg is bent or straightened.
-
PCL Injuries

Posterior cruciate ligament (PCL), one of the four major ligaments of the knee, is situated at the back of the knee. It connects the thighbone (femur) to the shinbone (tibia). The PCL limits the backward motion of the shinbone.
-
Pes Anserine Bursitis

Bursitis refers to the inflammation and swelling of a bursa. A bursa is a small fluid-filled sac found between soft tissues and bones that lubricates and acts as a cushion to decrease friction between bones when they move.
-
Total Knee Replacement

Total knee replacement, also called total knee arthroplasty, is a surgical procedure in which the worn out or damaged surfaces of the knee joint are removed and replaced with an artificial prosthesis.
-
Outpatient Total Knee Replacement

Total knee replacement is the surgical treatment for knee arthritis, where the damaged knee is removed and replaced with an artificial knee implant. Traditionally performed as an inpatient procedure, total knee replacement surgery is now being conducted on an outpatient basis, allowing you to go home on the same day of the surgery.
-
Robotic Assisted Knee Replacement

Robotic-assisted knee replacement surgery is an alternative to the conventional knee replacement procedure. It is performed using robotic-arm technology that allows your surgeon to precisely perform the surgery through a smaller incision as compared to traditional surgery.
-
Unicompartmental/Partial Knee Replacement

Unicompartmental knee replacement is a minimally invasive surgery in which only the damaged compartment of the knee is replaced with an implant. It is also called a partial knee replacement.
-
Knee Arthroscopy

Knee arthroscopy is a common surgical procedure performed using an arthroscope, a viewing instrument, to diagnose or treat a knee problem. It is a relatively safe procedure and you will usually be discharged from the hospital on the same day of surgery.
-
Revision Knee Replacement

Revision knee replacement surgery involves replacing a part or all your previous knee prosthesis with a new prosthesis. Although total knee replacement surgery is successful, sometimes the procedure can fail due to various reasons and may require a second revision surgery.
-
Robotic Unicondylar Knee Replacement

A unicondylar knee replacement is a procedure to replace part of the knee joint with a prosthetic implant to relieve pain and improve the function of the joint. Advances in technology have allowed this procedure to be performed in a minimally invasive manner with robotic assistance.
-
Unicondylar knee Replacement

Unicompartmental knee replacement or unicondylar knee replacement is a minimally invasive surgery in which only the damaged compartment of the knee is replaced with an implant. It is also called a partial knee replacement.
-
Computer Navigation for Total Knee Replacement

Computer navigation provides your surgeon with real-time 3-D images of your mapped knee and the surgical instruments during surgery. The data for the images is provided by infrared sensors fixed to the bones of the knee and surgical instruments.
-
Minimally Invasive Knee Joint Replacement

Total knee replacement is a very successful surgical treatment for knee arthritis. Over the years, minimally invasive knee replacement surgical techniques have been developed to lessen tissue trauma and improve patient outcomes.
-
Custom-fitted Total Knee Arthroplasty

Custom-fitted total knee arthroplasty is a newer more advanced technology in total knee replacement surgery that uses an individualized patient-specific knee implant for the replacement of all three components of the knee.
-
Outpatient Unicondylar Knee Replacement

A unicondylar knee replacement, also known as unicompartmental or partial knee replacement, is a procedure to replace a portion of the damaged knee joint with a prosthetic implant to relieve pain and improve function of the knee joint.
-
Lateral Approach Total Knee Replacement

Lateral approach total knee replacement is a surgical procedure employed for the treatment of valgus deformity of the osteoarthritic knee.
-
Partial Lateral Knee Replacement

Partial lateral knee replacement is a surgery to replace only the lateral part of your damaged knee. It is also called unicompartmental knee replacement. The knee is one of the largest and complex joints in your body.
-
Partial Medial Knee Replacement

Partial medial knee replacement is a surgery to replace only the medial part of your damaged knee. It is also called unicompartmental knee replacement. The knee is one of the largest and complex joints in your body.
-
Tricompartmental Knee Replacement

Tricompartmental knee replacement, also called total knee arthroplasty, is a surgical procedure in which the worn-out or damaged surfaces of the knee joint are removed and replaced with artificial parts.
-
Patient Specific Knee Replacement

Patient-specific knee replacement is a newer technology in total knee replacement surgery. It is an advanced procedure using an individualized patient-specific knee implant for replacement of all three components of the knee.
-
Patellofemoral Knee Replacement

Traditionally, arthritis in only one compartment of the knee is treated by partial knee replacement surgery. Patellofemoral knee replacement is a minimally invasive surgical option performed in the patellofemoral compartment only, preserving the knee parts not damaged by arthritis as well as the stabilizing anterior and posterior cruciate ligaments (ACL and PCL).
-
Patellar Tendon Repair

Patellar tendon repair is the surgery performed to reattach the torn tendon to the kneecap and to restore normal function in the affected leg.
-
Quadriceps Tendon Repair

Quadriceps tendon is a thick tissue located at the top of the kneecap. The quadriceps tendon works together with the quadriceps muscles to allow us to straighten our leg. The quadriceps muscles are the muscles located in front of the thigh.
-
Meniscal Surgery

Meniscal surgery is a surgical procedure employed for the treatment of torn or damaged meniscal tissues in the knee. It is mostly performed as a minimally invasive keyhole procedure.
-
Knee Fracture Surgery

A knee fracture is a broken bone or a crack in or around the joint of the knee. This can involve the tibia (shin bone), the kneecap (patella), or femur (thighbone) where they connect with the knee.
-
Cartilage Microfracture

Cartilage microfracture is a surgical procedure performed to replace the worn-out articular cartilage with new cartilage.
-
Chondroplasty

Chondroplasty is a surgical procedure to repair and reshape damaged cartilage in a joint. The procedure involves smoothing degenerative cartilage and trimming any unstable flaps of cartilage.
-
Failed Meniscus Repair

Meniscal repair may be performed either by open surgery under direct vision or minimally invasively using an arthroscope, which is a thin tube fitted with a camera that can be inserted into the knee through a very small incision to locate and repair the damaged meniscus.
-
Meniscectomy

Meniscectomy is a surgical procedure indicated in individuals with torn meniscus where the conservative treatments are a failure to relieve the pain and other symptoms. Meniscectomy is recommended based on the ability of meniscus to heal, patient’s age, health status, and activity level.
-
Partial Arthroscopic Meniscectomy

Partial arthroscopic meniscectomy is a procedure to remove the damaged part of a meniscus in the knee joint with the help of an arthroscope. The meniscus is a C-shaped disc of cartilage between your thighbone and shinbone.
-
Partial Meniscectomy

Partial meniscectomy is a surgical procedure to remove the torn portion of the meniscus from the knee joint. Two wedge-shaped cartilage pieces are present between the thighbone and the shinbone. These are called menisci. They stabilize the knee joint and act as shock absorbers.
-
Robotic Assisted Partial Knee Surgery

Robotic-assisted partial knee surgery is an innovative alternative to the conventional surgical procedure to treat degenerative knee diseases such as osteoarthritis. It is performed using robotic-arm technology that allows your surgeon to precisely perform the surgery through small incisions.
-
What is New in Knee Replacement

If you are considering knee replacement surgery, there are new developments under study which can help enhance the quality of life.
-
Rapid Recovery Knee Replacement

Rapid recovery knee replacement, also known as an outpatient knee replacement, is an innovative procedure that is performed to replace a damaged knee joint with a prosthesis using minimally invasive techniques and surgical instruments that minimize post-operative pain and discomfort and promote faster recovery for patients.
-
Knee Implants

Knee implants are artificial devices that form the essential parts of the knee during a knee replacement surgery. The knee implants vary by size, shape, and material. Implants are made of biocompatible materials that are accepted by the body without producing any rejection response.
-
Knee Implants for Women

Knee replacement surgery may be associated with pain and limited motion if an implant does not suit your particular anatomy. Implants specific to women’s knee are provided by some companies like Zimmer and Biomet.
-
Non-Surgical Knee Treatments

The knee is a complex joint that consists of bone, cartilage, ligaments, and tendons that make joint movements easy and at the same time it is more susceptible to various kinds of injuries. Knee problems may arise if any of these structures get injured by overuse or suddenly during sports activities.
-
Platelet-Rich Plasma (PRP) Injections for the Knee

Platelet-rich plasma (PRP) injections for the knee are a minimally invasive treatment designed to reduce pain, improve joint function, and potentially promote healing in knee injuries or degenerative conditions.
-
Stem Cell Therapy for the Knee

Stem cell therapy is a regenerative treatment that uses the body's own cells to repair damaged tissues and reduce inflammation. In knee care, stem cells are typically harvested from bone marrow or fat tissue and injected into the joint to promote healing.
-
Viscosupplementation

Viscosupplementation refers to the injection of a hyaluronan preparation into the joint. Hyaluronan is a natural substance present in the joint fluid that assists in lubrication. It allows the smooth movement of the cartilage-covered articulating surfaces of the joint.
-
Intra-articular Knee Injection

Knee pain and stiffness can be disabling and difficult to treat. It can limit an individual’s lifestyle and negatively impact body image and emotional well-being.
-
Pharmacological Interventions for Knee Injuries

The knee is a complex joint that consists of bone, cartilage, ligaments, and tendons, which help in joint movements. Knee problems may arise if any of these structures get injured by overuse, trauma or during sports activities. These may impair your mobility as well as your quality of life.
-
Am I a Candidate for Knee Surgery?

Arthritis of the knee can cause pain and stiffness, making regular activities such as walking and bending difficult. As arthritis progresses, conservative treatments tend to lose their efficacy and more definitive treatment should be considered.
-
Physical Examination of the Knee

A physical examination of the knee involves assessing the knee's structure, range of motion, strength, and stability. A complete physical examination of the knee is performed when you present to your doctor with a knee complaint.
-
Knee Laser Treatment

Knee laser treatment is a non-invasive therapy that uses focussed laser energy to reduce pain, decrease inflammation, and promote tissue healing. This therapy is commonly used for knee osteoarthritis, tendonitis, ligament injuries, and post-surgical recovery.
-
Physical Therapy

Physical therapy is an exercise program that helps you to improve movement, relieve pain, encourage blood flow for faster healing, and restore your physical function and fitness level. It can be prescribed as an individual treatment program or combined with other treatments.
